
Dental Bonding Smile Makeover in New Jersey
Have you wanted to transform the appearance of your smile, but are concerned with the treatment methods or cost? Dr. MaryBeth McCabe offers her Middletown, New Jersey dental patients a chance to makeover their smile using low-cost dental bonding. Dental bonding can transform the appearance of their teeth, and is an affordable aesthetic treatment option. Dr. McCabe has received extensive continuing education training in dental bonding, allowing her to utilize extensive knowledge to improve the aesthetics of her patient’s smiles.
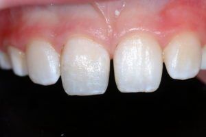
Bonding Transforms The Appearance of the Teeth
Bonding can help improve the appearances of spaces, chips, gaps or cracks in teeth. The resin material bonds directly to the tooth enamel, blending in with the natural tooth. Bonding is a more cost-effective option in dental aesthetics for patients who desire results similar to dental veneers. The entire process requires minimal treatment time, allowing patients an incredible transformation in a short amount of time.
The Treatment Process
To apply bonding to the teeth, Dr. McCabe gently prepares the tooth so that it is slightly roughened. This allows the material to fuse optimally to the enamel, for added strength. An individually matched resin material is then applied to the tooth and cured using an ultraviolet light. After application, the resin material is polished and smoothed evenly with the rest of the tooth.
If you’ve been hoping for an affordable smile transformation, contact our Middletown, New Jersey family dental office today to schedule a consultation. Dr. McCabe works closely with each patient to discuss the bonding treatment that is best for him or her.